חוסר שיניים חלביות אצל ילדים – מתי זה מצריך התערבות רפואית
חוסר שיניים חלביות אצל ילדים נתפס לעיתים כמשהו טבעי, אפילו חמוד.
“זה שלב”, “עוד מעט יצמחו לו חדשות”, “זה נראה מתוק כשהוא מחייך בלי שיניים” – אלו משפטים שהורים רבים שומעים ואומרים.
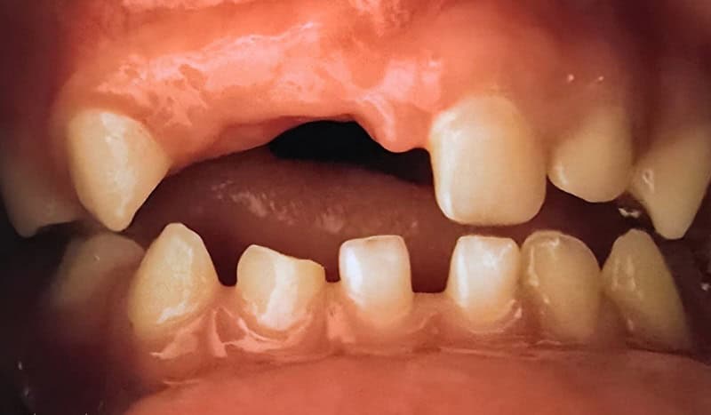
יש הבדל מהותי בין נשירה טבעית בזמן הנכון לבין אובדן מוקדם של שיניים חלביות בגלל עששת, חבלה או עקירה מוקדמת , שיניים חלביות אינן רק עניין אסתטי או זמני – הן חלק ממערכת ביולוגית פעילה שמשפיעה על:
• התפתחות החניכיים
• גדילת הלסת
• מיקום ובקיעה של השיניים הקבועות
• תפקוד הלעיסה והסגר
אז מה עושים כששן חלב חסרה מוקדם?
במקרים שבהם שן חלב נעקרה או נפלה מוקדם, והשן הקבועה עדיין לא צפויה לבקוע בזמן הקרוב –
קיימים פתרונות רפואיים שמטרתם לשמור על המקום ולתפקוד תקין עד בקיעת השן הקבועה.
שיניים קידמיות
פלטה עם השלמת שיניים לילדים – פתרון זמני ומבוקר
מדובר ב־פלטה המודבקת לשיניים האחוריות, ובאזור שבו חסרה שן חלב מותקנת שן מלאכותית קטנה. לשיניים קידמיות בלבד .
• שומר על המרווח לשן הקבועה
• מונע נדידה של שיניים סמוכות
• מסייע ללעיסה ולסגר
• ובמקרים של שיניים קדמיות – נותן גם מענה אסתטי חשוב
שיניים אחוריות שומר מקום
מדובר בטבעת המודבקת באזור השן החסרה שמטרתה לשמור על המרווח עד לבקיעת השן הקבועה האחורית . מיועד לשיניים אחוריות בלבד.
• שומר על המרווח לשן הקבועה
• מונע נדידה של שיניים סמוכות
• תומך בהתפתחות תקינה של הסגר והלסת
• מסייע בחלוקת עומסים נכונה בזמן לעיסה .
מה חשוב לדעת לפני טיפול של השלמת שיניים לילדים
• לא פתרונות קבועים ולא “שתלים לילדים”
• דורש היגיינת פה טובה ומעקב
• לא מתאים לכל גיל ולכל מצב
• ההחלטה מתקבלת לאחר אבחון מקצועי בלבד
ד"ר גל לוסקי מומחית לרפואת שיניים לילדים
טיפול בשיניים חלביות ובמצבים של חוסר שיניים אצל ילדים דורש ניסיון, דיוק והבנה עמוקה של התפתחות הפה והלסת בגיל הצעיר.
ד"ר לוסקי מלווה ילדים והורים באבחון ובטיפול מותאם אישית – החל משמירה על שיניים חלביות, דרך קבלת החלטות נכונות במקרי עקירה, ועד פתרונות זמניים מתקדמים כמו פלטות להשלמת שיניים, כאשר יש בכך צורך רפואי.
הגישה של ד"ר לוסקי משלבת מקצועיות רפואית גבוהה, ראייה ארוכת טווח של התפתחות הפה, ויחס רגוע ומותאם לילדים – מתוך מטרה לשמור לא רק על החיוך של הילד היום, אלא גם על בריאות הפה שלו בעתיד.
בכל שאלה או התלבטות לגבי שיניים חלביות, נשירה מוקדמת או צורך בפתרון זמני – מוזמנים לפנות לייעוץ ולהערכה מקצועית.


